Digital Database for Screening Mammography

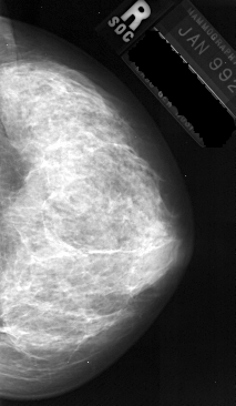
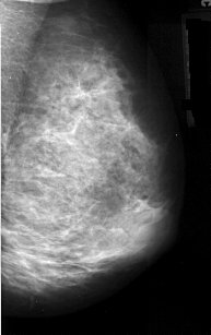
Volume: normal_02 Case: A-0217-1


A_0217_1.LEFT_MLO

A_0217_1.RIGHT_MLO

A_0217_1.LEFT_CC

A_0217_1.RIGHT_CC

ics_version 1.0
filename A-0217-1
DATE_OF_STUDY 9 1 1992
PATIENT_AGE 50
FILM
FILM_TYPE REGULAR
DENSITY 4
DATE_DIGITIZED 10 6 1996
DIGITIZER DBA 21
SEQUENCE
LEFT_CC LINES 5086 PIXELS_PER_LINE 2971 BITS_PER_PIXEL 16 RESOLUTION 42 NON_OVERLAY
LEFT_MLO LINES 5461 PIXELS_PER_LINE 3196 BITS_PER_PIXEL 16 RESOLUTION 42 NON_OVERLAY
RIGHT_CC LINES 5116 PIXELS_PER_LINE 2971 BITS_PER_PIXEL 16 RESOLUTION 42 NON_OVERLAY
RIGHT_MLO LINES 4591 PIXELS_PER_LINE 2881 BITS_PER_PIXEL 16 RESOLUTION 42 NON_OVERLAY