Digital Database for Screening Mammography

Volume: normal_02 Case: A-0220-1


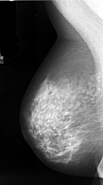
A_0220_1.LEFT_MLO

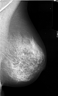
A_0220_1.RIGHT_MLO

A_0220_1.LEFT_CC

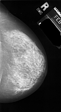
A_0220_1.RIGHT_CC

ics_version 1.0
filename A-0220-1
DATE_OF_STUDY 5 2 1991
PATIENT_AGE 57
FILM
FILM_TYPE REGULAR
DENSITY 3
DATE_DIGITIZED 12 6 1996
DIGITIZER DBA 21
SEQUENCE
LEFT_CC LINES 5146 PIXELS_PER_LINE 2821 BITS_PER_PIXEL 16 RESOLUTION 42 NON_OVERLAY
LEFT_MLO LINES 5461 PIXELS_PER_LINE 3061 BITS_PER_PIXEL 16 RESOLUTION 42 NON_OVERLAY
RIGHT_CC LINES 5101 PIXELS_PER_LINE 2791 BITS_PER_PIXEL 16 RESOLUTION 42 NON_OVERLAY
RIGHT_MLO LINES 5026 PIXELS_PER_LINE 3046 BITS_PER_PIXEL 16 RESOLUTION 42 NON_OVERLAY