Digital Database for Screening Mammography

Volume: normal_02 Case: A-0229-1


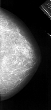
A_0229_1.LEFT_MLO

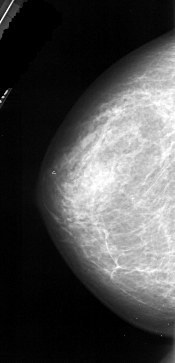
A_0229_1.RIGHT_MLO

A_0229_1.LEFT_CC

A_0229_1.RIGHT_CC

ics_version 1.0
filename A-0229-1
DATE_OF_STUDY 20 6 1991
PATIENT_AGE 48
FILM
FILM_TYPE REGULAR
DENSITY 3
DATE_DIGITIZED 14 6 1996
DIGITIZER DBA 21
SEQUENCE
LEFT_CC LINES 4711 PIXELS_PER_LINE 2266 BITS_PER_PIXEL 16 RESOLUTION 42 NON_OVERLAY
LEFT_MLO LINES 5461 PIXELS_PER_LINE 2341 BITS_PER_PIXEL 16 RESOLUTION 42 NON_OVERLAY
RIGHT_CC LINES 4606 PIXELS_PER_LINE 2146 BITS_PER_PIXEL 16 RESOLUTION 42 NON_OVERLAY
RIGHT_MLO LINES 5461 PIXELS_PER_LINE 2176 BITS_PER_PIXEL 16 RESOLUTION 42 NON_OVERLAY