Digital Database for Screening Mammography

Volume: normal_02 Case: A-0233-1


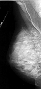
A_0233_1.LEFT_MLO

A_0233_1.RIGHT_MLO

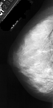
A_0233_1.LEFT_CC

A_0233_1.RIGHT_CC

ics_version 1.0
filename A-0233-1
DATE_OF_STUDY 23 10 1991
PATIENT_AGE 47
FILM
FILM_TYPE REGULAR
DENSITY 4
DATE_DIGITIZED 18 6 1996
DIGITIZER DBA 21
SEQUENCE
LEFT_CC LINES 4621 PIXELS_PER_LINE 2281 BITS_PER_PIXEL 16 RESOLUTION 42 NON_OVERLAY
LEFT_MLO LINES 5461 PIXELS_PER_LINE 2536 BITS_PER_PIXEL 16 RESOLUTION 42 NON_OVERLAY
RIGHT_CC LINES 4666 PIXELS_PER_LINE 2266 BITS_PER_PIXEL 16 RESOLUTION 42 NON_OVERLAY
RIGHT_MLO LINES 5266 PIXELS_PER_LINE 2341 BITS_PER_PIXEL 16 RESOLUTION 42 NON_OVERLAY