Digital Database for Screening Mammography

Volume: normal_02 Case: A-0238-1


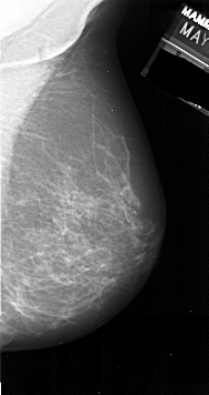
A_0238_1.LEFT_MLO

A_0238_1.RIGHT_MLO

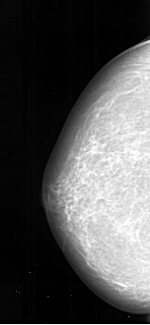
A_0238_1.LEFT_CC

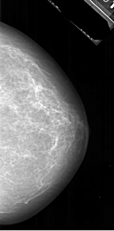
A_0238_1.RIGHT_CC

ics_version 1.0
filename A-0238-1
DATE_OF_STUDY 13 5 1991
PATIENT_AGE 63
FILM
FILM_TYPE REGULAR
DENSITY 2
DATE_DIGITIZED 19 6 1996
DIGITIZER DBA 21
SEQUENCE
LEFT_CC LINES 5041 PIXELS_PER_LINE 2326 BITS_PER_PIXEL 16 RESOLUTION 42 NON_OVERLAY
LEFT_MLO LINES 5101 PIXELS_PER_LINE 2641 BITS_PER_PIXEL 16 RESOLUTION 42 NON_OVERLAY
RIGHT_CC LINES 4621 PIXELS_PER_LINE 2296 BITS_PER_PIXEL 16 RESOLUTION 42 NON_OVERLAY
RIGHT_MLO LINES 5326 PIXELS_PER_LINE 2821 BITS_PER_PIXEL 16 RESOLUTION 42 NON_OVERLAY