Digital Database for Screening Mammography

Volume: normal_02 Case: A-0241-1


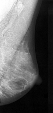
A_0241_1.LEFT_MLO

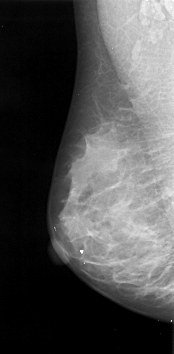
A_0241_1.RIGHT_MLO

A_0241_1.LEFT_CC

A_0241_1.RIGHT_CC

ics_version 1.0
filename A-0241-1
DATE_OF_STUDY 4 11 1991
PATIENT_AGE 48
FILM
FILM_TYPE REGULAR
DENSITY 4
DATE_DIGITIZED 20 6 1996
DIGITIZER DBA 21
SEQUENCE
LEFT_CC LINES 4576 PIXELS_PER_LINE 2101 BITS_PER_PIXEL 16 RESOLUTION 42 NON_OVERLAY
LEFT_MLO LINES 4591 PIXELS_PER_LINE 2251 BITS_PER_PIXEL 16 RESOLUTION 42 NON_OVERLAY
RIGHT_CC LINES 4831 PIXELS_PER_LINE 2191 BITS_PER_PIXEL 16 RESOLUTION 42 NON_OVERLAY
RIGHT_MLO LINES 4771 PIXELS_PER_LINE 2236 BITS_PER_PIXEL 16 RESOLUTION 42 NON_OVERLAY