Digital Database for Screening Mammography

Volume: normal_02 Case: A-0253-1


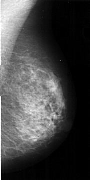
A_0253_1.LEFT_MLO

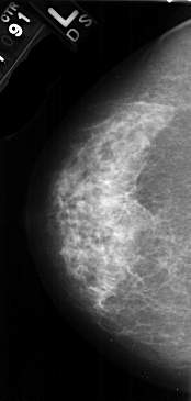
A_0253_1.RIGHT_MLO

A_0253_1.LEFT_CC

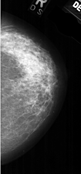
A_0253_1.RIGHT_CC

ics_version 1.0
filename A-0253-1
DATE_OF_STUDY 10 12 1991
PATIENT_AGE 52
FILM
FILM_TYPE REGULAR
DENSITY 3
DATE_DIGITIZED 26 6 1996
DIGITIZER DBA 21
SEQUENCE
LEFT_CC LINES 5461 PIXELS_PER_LINE 2596 BITS_PER_PIXEL 16 RESOLUTION 42 NON_OVERLAY
LEFT_MLO LINES 5446 PIXELS_PER_LINE 2656 BITS_PER_PIXEL 16 RESOLUTION 42 NON_OVERLAY
RIGHT_CC LINES 5266 PIXELS_PER_LINE 2461 BITS_PER_PIXEL 16 RESOLUTION 42 NON_OVERLAY
RIGHT_MLO LINES 5356 PIXELS_PER_LINE 2671 BITS_PER_PIXEL 16 RESOLUTION 42 NON_OVERLAY