Digital Database for Screening Mammography

Volume: normal_02 Case: A-0257-1


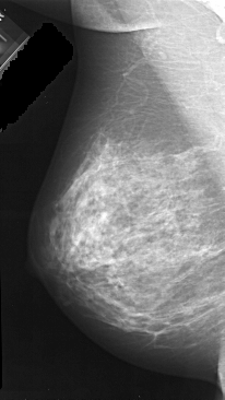
A_0257_1.LEFT_MLO

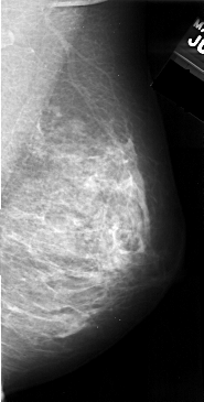
A_0257_1.RIGHT_MLO

A_0257_1.LEFT_CC

A_0257_1.RIGHT_CC

ics_version 1.0
filename A-0257-1
DATE_OF_STUDY 13 6 1991
PATIENT_AGE 48
FILM
FILM_TYPE REGULAR
DENSITY 3
DATE_DIGITIZED 28 6 1996
DIGITIZER DBA 21
SEQUENCE
LEFT_CC LINES 5416 PIXELS_PER_LINE 2716 BITS_PER_PIXEL 16 RESOLUTION 42 NON_OVERLAY
LEFT_MLO LINES 5476 PIXELS_PER_LINE 3076 BITS_PER_PIXEL 16 RESOLUTION 42 NON_OVERLAY
RIGHT_CC LINES 5266 PIXELS_PER_LINE 2401 BITS_PER_PIXEL 16 RESOLUTION 42 NON_OVERLAY
RIGHT_MLO LINES 5461 PIXELS_PER_LINE 2761 BITS_PER_PIXEL 16 RESOLUTION 42 NON_OVERLAY