Digital Database for Screening Mammography

Volume: normal_02 Case: A-0265-1


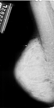
A_0265_1.LEFT_MLO

A_0265_1.RIGHT_MLO

A_0265_1.LEFT_CC

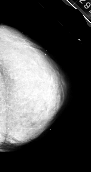
A_0265_1.RIGHT_CC

ics_version 1.0
filename A-0265-1
DATE_OF_STUDY 22 1 1992
PATIENT_AGE 36
FILM
FILM_TYPE REGULAR
DENSITY 4
DATE_DIGITIZED 11 7 1996
DIGITIZER DBA 21
SEQUENCE
LEFT_CC LINES 4471 PIXELS_PER_LINE 2386 BITS_PER_PIXEL 16 RESOLUTION 42 NON_OVERLAY
LEFT_MLO LINES 5476 PIXELS_PER_LINE 2731 BITS_PER_PIXEL 16 RESOLUTION 42 NON_OVERLAY
RIGHT_CC LINES 4426 PIXELS_PER_LINE 2356 BITS_PER_PIXEL 16 RESOLUTION 42 NON_OVERLAY
RIGHT_MLO LINES 5476 PIXELS_PER_LINE 2551 BITS_PER_PIXEL 16 RESOLUTION 42 NON_OVERLAY