Digital Database for Screening Mammography

Volume: normal_02 Case: A-0268-1


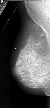
A_0268_1.LEFT_MLO

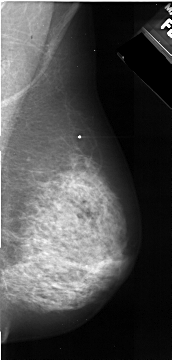
A_0268_1.RIGHT_MLO

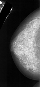
A_0268_1.LEFT_CC

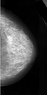
A_0268_1.RIGHT_CC

ics_version 1.0
filename A-0268-1
DATE_OF_STUDY 24 2 1992
PATIENT_AGE 64
FILM
FILM_TYPE REGULAR
DENSITY 4
DATE_DIGITIZED 17 7 1996
DIGITIZER DBA 21
SEQUENCE
LEFT_CC LINES 5206 PIXELS_PER_LINE 2416 BITS_PER_PIXEL 16 RESOLUTION 42 NON_OVERLAY
LEFT_MLO LINES 5311 PIXELS_PER_LINE 2461 BITS_PER_PIXEL 16 RESOLUTION 42 NON_OVERLAY
RIGHT_CC LINES 4861 PIXELS_PER_LINE 2401 BITS_PER_PIXEL 16 RESOLUTION 42 NON_OVERLAY
RIGHT_MLO LINES 5386 PIXELS_PER_LINE 2566 BITS_PER_PIXEL 16 RESOLUTION 42 NON_OVERLAY