Digital Database for Screening Mammography

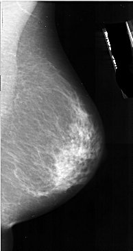
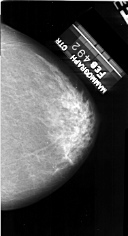
Volume: normal_02 Case: A-0283-1


A_0283_1.LEFT_MLO

A_0283_1.RIGHT_MLO

A_0283_1.LEFT_CC

A_0283_1.RIGHT_CC

ics_version 1.0
filename A-0283-1
DATE_OF_STUDY 4 2 1992
PATIENT_AGE 50
FILM
FILM_TYPE REGULAR
DENSITY 2
DATE_DIGITIZED 1 8 1996
DIGITIZER DBA 21
SEQUENCE
LEFT_CC LINES 5416 PIXELS_PER_LINE 3091 BITS_PER_PIXEL 16 RESOLUTION 42 NON_OVERLAY
LEFT_MLO LINES 5491 PIXELS_PER_LINE 2911 BITS_PER_PIXEL 16 RESOLUTION 42 NON_OVERLAY
RIGHT_CC LINES 5161 PIXELS_PER_LINE 2806 BITS_PER_PIXEL 16 RESOLUTION 42 NON_OVERLAY
RIGHT_MLO LINES 5491 PIXELS_PER_LINE 2896 BITS_PER_PIXEL 16 RESOLUTION 42 NON_OVERLAY