Digital Database for Screening Mammography

Volume: normal_02 Case: A-0317-1


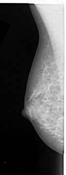
A_0317_1.LEFT_MLO

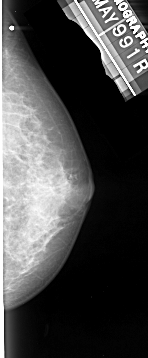
A_0317_1.RIGHT_MLO

A_0317_1.LEFT_CC

A_0317_1.RIGHT_CC

ics_version 1.0
filename A-0317-1
DATE_OF_STUDY 9 5 1991
PATIENT_AGE 53
FILM
FILM_TYPE REGULAR
DENSITY 4
DATE_DIGITIZED 13 9 1996
DIGITIZER DBA 21
SEQUENCE
LEFT_CC LINES 4561 PIXELS_PER_LINE 1936 BITS_PER_PIXEL 16 RESOLUTION 42 NON_OVERLAY
LEFT_MLO LINES 5386 PIXELS_PER_LINE 2026 BITS_PER_PIXEL 16 RESOLUTION 42 NON_OVERLAY
RIGHT_CC LINES 4651 PIXELS_PER_LINE 1921 BITS_PER_PIXEL 16 RESOLUTION 42 NON_OVERLAY
RIGHT_MLO LINES 4771 PIXELS_PER_LINE 1951 BITS_PER_PIXEL 16 RESOLUTION 42 NON_OVERLAY