Digital Database for Screening Mammography

Volume: normal_02 Case: A-0318-1


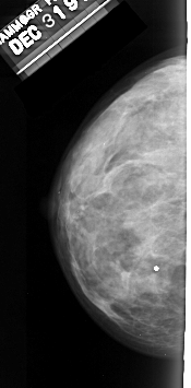
A_0318_1.LEFT_MLO

A_0318_1.RIGHT_MLO

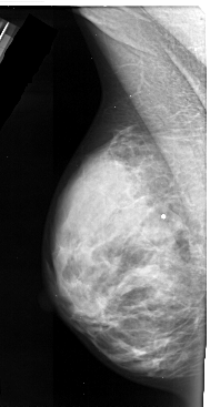
A_0318_1.LEFT_CC

A_0318_1.RIGHT_CC

ics_version 1.0
filename A-0318-1
DATE_OF_STUDY 31 12 1991
PATIENT_AGE 45
FILM
FILM_TYPE REGULAR
DENSITY 4
DATE_DIGITIZED 13 9 1996
DIGITIZER DBA 21
SEQUENCE
LEFT_CC LINES 4966 PIXELS_PER_LINE 2446 BITS_PER_PIXEL 16 RESOLUTION 42 NON_OVERLAY
LEFT_MLO LINES 5491 PIXELS_PER_LINE 2821 BITS_PER_PIXEL 16 RESOLUTION 42 NON_OVERLAY
RIGHT_CC LINES 4966 PIXELS_PER_LINE 2416 BITS_PER_PIXEL 16 RESOLUTION 42 NON_OVERLAY
RIGHT_MLO LINES 5476 PIXELS_PER_LINE 2731 BITS_PER_PIXEL 16 RESOLUTION 42 NON_OVERLAY