Digital Database for Screening Mammography

Volume: normal_03 Case: A-0335-1


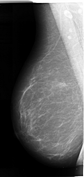
A_0335_1.LEFT_MLO

A_0335_1.RIGHT_MLO

A_0335_1.LEFT_CC

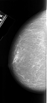
A_0335_1.RIGHT_CC

ics_version 1.0
filename A-0335-1
DATE_OF_STUDY 10 9 1991
PATIENT_AGE 53
FILM
FILM_TYPE REGULAR
DENSITY 2
DATE_DIGITIZED 18 9 1996
DIGITIZER DBA 21
SEQUENCE
LEFT_CC LINES 6466 PIXELS_PER_LINE 2941 BITS_PER_PIXEL 16 RESOLUTION 42 NON_OVERLAY
LEFT_MLO LINES 6886 PIXELS_PER_LINE 3286 BITS_PER_PIXEL 16 RESOLUTION 42 NON_OVERLAY
RIGHT_CC LINES 6211 PIXELS_PER_LINE 2986 BITS_PER_PIXEL 16 RESOLUTION 42 NON_OVERLAY
RIGHT_MLO LINES 6571 PIXELS_PER_LINE 3466 BITS_PER_PIXEL 16 RESOLUTION 42 NON_OVERLAY