Digital Database for Screening Mammography

Volume: normal_03 Case: A-0343-1


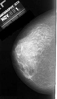
A_0343_1.LEFT_MLO

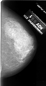
A_0343_1.RIGHT_MLO

A_0343_1.LEFT_CC

A_0343_1.RIGHT_CC

ics_version 1.0
filename A-0343-1
DATE_OF_STUDY 6 11 1991
PATIENT_AGE 73
FILM
FILM_TYPE REGULAR
DENSITY 4
DATE_DIGITIZED 20 9 1996
DIGITIZER DBA 21
SEQUENCE
LEFT_CC LINES 5191 PIXELS_PER_LINE 3001 BITS_PER_PIXEL 16 RESOLUTION 42 NON_OVERLAY
LEFT_MLO LINES 5491 PIXELS_PER_LINE 2701 BITS_PER_PIXEL 16 RESOLUTION 42 NON_OVERLAY
RIGHT_CC LINES 5071 PIXELS_PER_LINE 2716 BITS_PER_PIXEL 16 RESOLUTION 42 NON_OVERLAY
RIGHT_MLO LINES 5161 PIXELS_PER_LINE 2821 BITS_PER_PIXEL 16 RESOLUTION 42 NON_OVERLAY