Digital Database for Screening Mammography

Volume: normal_03 Case: A-0390-1


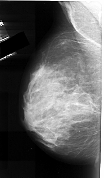
A_0390_1.LEFT_MLO

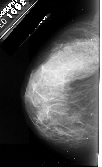
A_0390_1.RIGHT_MLO

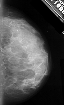
A_0390_1.LEFT_CC

A_0390_1.RIGHT_CC

ics_version 1.0
filename A-0390-1
DATE_OF_STUDY 16 12 1991
PATIENT_AGE 61
FILM
FILM_TYPE REGULAR
DENSITY 4
DATE_DIGITIZED 18 10 1996
DIGITIZER DBA 21
SEQUENCE
LEFT_CC LINES 4831 PIXELS_PER_LINE 2956 BITS_PER_PIXEL 16 RESOLUTION 42 NON_OVERLAY
LEFT_MLO LINES 5476 PIXELS_PER_LINE 3196 BITS_PER_PIXEL 16 RESOLUTION 42 NON_OVERLAY
RIGHT_CC LINES 4681 PIXELS_PER_LINE 2881 BITS_PER_PIXEL 16 RESOLUTION 42 NON_OVERLAY
RIGHT_MLO LINES 5146 PIXELS_PER_LINE 3016 BITS_PER_PIXEL 16 RESOLUTION 42 NON_OVERLAY