Digital Database for Screening Mammography

Volume: normal_04 Case: A-0418-1


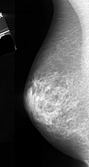
A_0418_1.LEFT_MLO

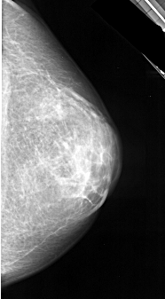
A_0418_1.RIGHT_MLO

A_0418_1.LEFT_CC

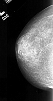
A_0418_1.RIGHT_CC

ics_version 1.0
filename A-0418-1
DATE_OF_STUDY 25 2 1992
PATIENT_AGE 43
FILM
FILM_TYPE REGULAR
DENSITY 4
DATE_DIGITIZED 30 10 1996
DIGITIZER DBA 21
SEQUENCE
LEFT_CC LINES 4501 PIXELS_PER_LINE 2371 BITS_PER_PIXEL 16 RESOLUTION 42 NON_OVERLAY
LEFT_MLO LINES 4636 PIXELS_PER_LINE 2476 BITS_PER_PIXEL 16 RESOLUTION 42 NON_OVERLAY
RIGHT_CC LINES 4381 PIXELS_PER_LINE 2416 BITS_PER_PIXEL 16 RESOLUTION 42 NON_OVERLAY
RIGHT_MLO LINES 5176 PIXELS_PER_LINE 2401 BITS_PER_PIXEL 16 RESOLUTION 42 NON_OVERLAY