Digital Database for Screening Mammography

Volume: normal_04 Case: A-0424-1


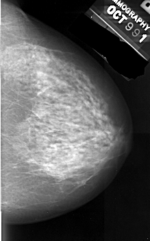
A_0424_1.LEFT_MLO

A_0424_1.RIGHT_MLO

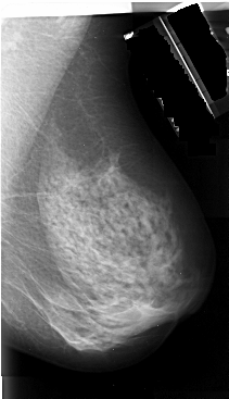
A_0424_1.LEFT_CC

A_0424_1.RIGHT_CC

ics_version 1.0
filename A-0424-1
DATE_OF_STUDY 9 10 1991
PATIENT_AGE 48
FILM
FILM_TYPE REGULAR
DENSITY 3
DATE_DIGITIZED 31 10 1996
DIGITIZER DBA 21
SEQUENCE
LEFT_CC LINES 4936 PIXELS_PER_LINE 2941 BITS_PER_PIXEL 16 RESOLUTION 42 NON_OVERLAY
LEFT_MLO LINES 5431 PIXELS_PER_LINE 2551 BITS_PER_PIXEL 16 RESOLUTION 42 NON_OVERLAY
RIGHT_CC LINES 4906 PIXELS_PER_LINE 3061 BITS_PER_PIXEL 16 RESOLUTION 42 NON_OVERLAY
RIGHT_MLO LINES 5491 PIXELS_PER_LINE 3151 BITS_PER_PIXEL 16 RESOLUTION 42 NON_OVERLAY