Digital Database for Screening Mammography

Volume: normal_04 Case: A-0426-1


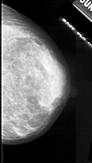
A_0426_1.LEFT_MLO

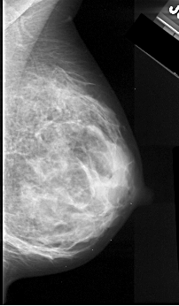
A_0426_1.RIGHT_MLO

A_0426_1.LEFT_CC

A_0426_1.RIGHT_CC

ics_version 1.0
filename A-0426-1
DATE_OF_STUDY 11 6 1991
PATIENT_AGE 50
FILM
FILM_TYPE REGULAR
DENSITY 4
DATE_DIGITIZED 31 10 1996
DIGITIZER DBA 21
SEQUENCE
LEFT_CC LINES 4966 PIXELS_PER_LINE 2866 BITS_PER_PIXEL 16 RESOLUTION 42 NON_OVERLAY
LEFT_MLO LINES 4906 PIXELS_PER_LINE 2956 BITS_PER_PIXEL 16 RESOLUTION 42 NON_OVERLAY
RIGHT_CC LINES 4546 PIXELS_PER_LINE 2566 BITS_PER_PIXEL 16 RESOLUTION 42 NON_OVERLAY
RIGHT_MLO LINES 4831 PIXELS_PER_LINE 2821 BITS_PER_PIXEL 16 RESOLUTION 42 NON_OVERLAY