![]() |
![]() |
![]() |
![]() |
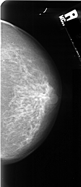
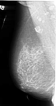
ics_version 1.0 filename A-0466-1 DATE_OF_STUDY 27 8 1992 PATIENT_AGE 68 FILM FILM_TYPE REGULAR DENSITY 3 DATE_DIGITIZED 12 11 1996 DIGITIZER DBA 21 SEQUENCE LEFT_CC LINES 5476 PIXELS_PER_LINE 2776 BITS_PER_PIXEL 16 RESOLUTION 42 NON_OVERLAY LEFT_MLO LINES 5476 PIXELS_PER_LINE 2911 BITS_PER_PIXEL 16 RESOLUTION 42 NON_OVERLAY RIGHT_CC LINES 5476 PIXELS_PER_LINE 2371 BITS_PER_PIXEL 16 RESOLUTION 42 NON_OVERLAY RIGHT_MLO LINES 5491 PIXELS_PER_LINE 2656 BITS_PER_PIXEL 16 RESOLUTION 42 NON_OVERLAY |