Digital Database for Screening Mammography

Volume: normal_06 Case: A-0569-1


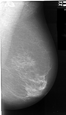
A_0569_1.LEFT_MLO

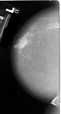
A_0569_1.RIGHT_MLO

A_0569_1.LEFT_CC

A_0569_1.RIGHT_CC

ics_version 1.0
filename A-0569-1
DATE_OF_STUDY 14 7 1992
PATIENT_AGE 67
FILM
FILM_TYPE REGULAR
DENSITY 2
DATE_DIGITIZED 27 12 1996
DIGITIZER DBA 21
SEQUENCE
LEFT_CC LINES 5506 PIXELS_PER_LINE 2941 BITS_PER_PIXEL 16 RESOLUTION 42 NON_OVERLAY
LEFT_MLO LINES 5476 PIXELS_PER_LINE 3151 BITS_PER_PIXEL 16 RESOLUTION 42 NON_OVERLAY
RIGHT_CC LINES 5476 PIXELS_PER_LINE 3001 BITS_PER_PIXEL 16 RESOLUTION 42 NON_OVERLAY
RIGHT_MLO LINES 5491 PIXELS_PER_LINE 3181 BITS_PER_PIXEL 16 RESOLUTION 42 NON_OVERLAY