![]() |
![]() |
![]() |
![]() |
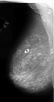
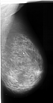
ics_version 1.0 filename A-0580-1 DATE_OF_STUDY 30 1 1992 PATIENT_AGE 71 FILM FILM_TYPE REGULAR DENSITY 3 DATE_DIGITIZED 31 12 1996 DIGITIZER DBA 21 SEQUENCE LEFT_CC LINES 6226 PIXELS_PER_LINE 3616 BITS_PER_PIXEL 16 RESOLUTION 42 NON_OVERLAY LEFT_MLO LINES 6691 PIXELS_PER_LINE 3586 BITS_PER_PIXEL 16 RESOLUTION 42 NON_OVERLAY RIGHT_CC LINES 5896 PIXELS_PER_LINE 3616 BITS_PER_PIXEL 16 RESOLUTION 42 NON_OVERLAY RIGHT_MLO LINES 6781 PIXELS_PER_LINE 3511 BITS_PER_PIXEL 16 RESOLUTION 42 NON_OVERLAY |