Digital Database for Screening Mammography

Volume: normal_07 Case: D-4513-1


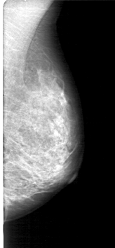
D_4513_1.LEFT_MLO

D_4513_1.RIGHT_MLO

D_4513_1.LEFT_CC

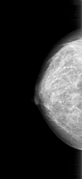
D_4513_1.RIGHT_CC

ics_version 1.0
filename D-4513-1
DATE_OF_STUDY 9 2 1994
PATIENT_AGE 37
FILM
FILM_TYPE REGULAR
DENSITY 3
DATE_DIGITIZED 24 2 1999
DIGITIZER HOWTEK 43.5
SEQUENCE
LEFT_CC LINES 4876 PIXELS_PER_LINE 2236 BITS_PER_PIXEL 12 RESOLUTION 43.5 NON_OVERLAY
LEFT_MLO LINES 4771 PIXELS_PER_LINE 2116 BITS_PER_PIXEL 12 RESOLUTION 43.5 NON_OVERLAY
RIGHT_CC LINES 4831 PIXELS_PER_LINE 2296 BITS_PER_PIXEL 12 RESOLUTION 43.5 NON_OVERLAY
RIGHT_MLO LINES 4951 PIXELS_PER_LINE 2296 BITS_PER_PIXEL 12 RESOLUTION 43.5 NON_OVERLAY