Digital Database for Screening Mammography

Volume: normal_07 Case: D-4524-1


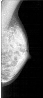
D_4524_1.LEFT_MLO

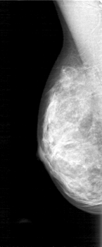
D_4524_1.RIGHT_MLO

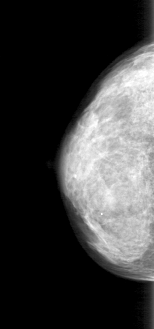
D_4524_1.LEFT_CC

D_4524_1.RIGHT_CC

ics_version 1.0
filename D-4524-1
DATE_OF_STUDY 30 6 1995
PATIENT_AGE 48
FILM
FILM_TYPE REGULAR
DENSITY 4
DATE_DIGITIZED 24 2 1999
DIGITIZER HOWTEK 43.5
SEQUENCE
LEFT_CC LINES 4276 PIXELS_PER_LINE 1996 BITS_PER_PIXEL 12 RESOLUTION 43.5 NON_OVERLAY
LEFT_MLO LINES 5221 PIXELS_PER_LINE 2161 BITS_PER_PIXEL 12 RESOLUTION 43.5 NON_OVERLAY
RIGHT_CC LINES 4591 PIXELS_PER_LINE 2266 BITS_PER_PIXEL 12 RESOLUTION 43.5 NON_OVERLAY
RIGHT_MLO LINES 5041 PIXELS_PER_LINE 2206 BITS_PER_PIXEL 12 RESOLUTION 43.5 NON_OVERLAY