Digital Database for Screening Mammography

Volume: normal_07 Case: D-4566-1


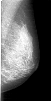
D_4566_1.LEFT_MLO

D_4566_1.RIGHT_MLO

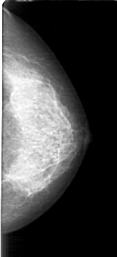
D_4566_1.LEFT_CC

D_4566_1.RIGHT_CC

ics_version 1.0
filename D-4566-1
DATE_OF_STUDY 9 3 1994
PATIENT_AGE 35
FILM
FILM_TYPE REGULAR
DENSITY 4
DATE_DIGITIZED 31 3 1999
DIGITIZER HOWTEK 43.5
SEQUENCE
LEFT_CC LINES 4771 PIXELS_PER_LINE 2311 BITS_PER_PIXEL 12 RESOLUTION 43.5 NON_OVERLAY
LEFT_MLO LINES 5191 PIXELS_PER_LINE 2536 BITS_PER_PIXEL 12 RESOLUTION 43.5 NON_OVERLAY
RIGHT_CC LINES 5161 PIXELS_PER_LINE 2341 BITS_PER_PIXEL 12 RESOLUTION 43.5 NON_OVERLAY
RIGHT_MLO LINES 4831 PIXELS_PER_LINE 2431 BITS_PER_PIXEL 12 RESOLUTION 43.5 NON_OVERLAY