Digital Database for Screening Mammography

Volume: normal_07 Case: D-4590-1


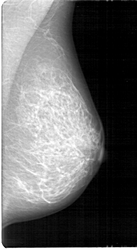
D_4590_1.LEFT_MLO

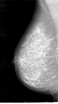
D_4590_1.RIGHT_MLO

D_4590_1.LEFT_CC

D_4590_1.RIGHT_CC

ics_version 1.0
filename D-4590-1
DATE_OF_STUDY 24 2 1994
PATIENT_AGE 44
FILM
FILM_TYPE REGULAR
DENSITY 3
DATE_DIGITIZED 31 3 1999
DIGITIZER HOWTEK 43.5
SEQUENCE
LEFT_CC LINES 5251 PIXELS_PER_LINE 2791 BITS_PER_PIXEL 12 RESOLUTION 43.5 NON_OVERLAY
LEFT_MLO LINES 5386 PIXELS_PER_LINE 3031 BITS_PER_PIXEL 12 RESOLUTION 43.5 NON_OVERLAY
RIGHT_CC LINES 5386 PIXELS_PER_LINE 2776 BITS_PER_PIXEL 12 RESOLUTION 43.5 NON_OVERLAY
RIGHT_MLO LINES 5386 PIXELS_PER_LINE 2956 BITS_PER_PIXEL 12 RESOLUTION 43.5 NON_OVERLAY