Digital Database for Screening Mammography

Volume: normal_08 Case: D-4564-1


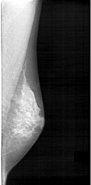
D_4564_1.RIGHT_MLO

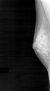
D_4564_1.LEFT_MLO

D_4564_1.RIGHT_CC

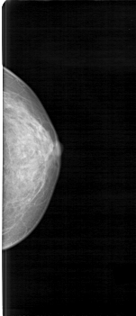
D_4564_1.LEFT_CC

ics_version 1.0
filename D-4564-1
DATE_OF_STUDY 23 2 1995
PATIENT_AGE 40
FILM
FILM_TYPE REGULAR
DENSITY 3
DATE_DIGITIZED 31 3 1999
DIGITIZER HOWTEK 43.5
SEQUENCE
LEFT_CC LINES 5251 PIXELS_PER_LINE 2251 BITS_PER_PIXEL 12 RESOLUTION 43.5 NON_OVERLAY
LEFT_MLO LINES 5146 PIXELS_PER_LINE 2521 BITS_PER_PIXEL 12 RESOLUTION 43.5 NON_OVERLAY
RIGHT_CC LINES 5191 PIXELS_PER_LINE 2686 BITS_PER_PIXEL 12 RESOLUTION 43.5 NON_OVERLAY
RIGHT_MLO LINES 5131 PIXELS_PER_LINE 2791 BITS_PER_PIXEL 12 RESOLUTION 43.5 NON_OVERLAY