Digital Database for Screening Mammography

Volume: normal_08 Case: D-4603-1


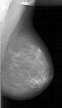
D_4603_1.RIGHT_MLO

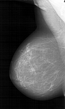
D_4603_1.LEFT_MLO

D_4603_1.RIGHT_CC

D_4603_1.LEFT_CC

ics_version 1.0
filename D-4603-1
DATE_OF_STUDY 23 2 1994
PATIENT_AGE 39
FILM
FILM_TYPE REGULAR
DENSITY 2
DATE_DIGITIZED 3 4 1999
DIGITIZER HOWTEK 43.5
SEQUENCE
LEFT_CC LINES 5956 PIXELS_PER_LINE 3571 BITS_PER_PIXEL 12 RESOLUTION 43.5 NON_OVERLAY
LEFT_MLO LINES 6271 PIXELS_PER_LINE 3631 BITS_PER_PIXEL 12 RESOLUTION 43.5 NON_OVERLAY
RIGHT_CC LINES 6346 PIXELS_PER_LINE 3946 BITS_PER_PIXEL 12 RESOLUTION 43.5 NON_OVERLAY
RIGHT_MLO LINES 6361 PIXELS_PER_LINE 3841 BITS_PER_PIXEL 12 RESOLUTION 43.5 NON_OVERLAY